来源:《口腔疾病》
作者:段小红等
近期,空军军医大学口腔医院段小红教授课题组在Oral diseases杂志发表论文,首次提出并命名一种新的口腔罕见病:腭颊融合-腭裂-多生牙综合征。
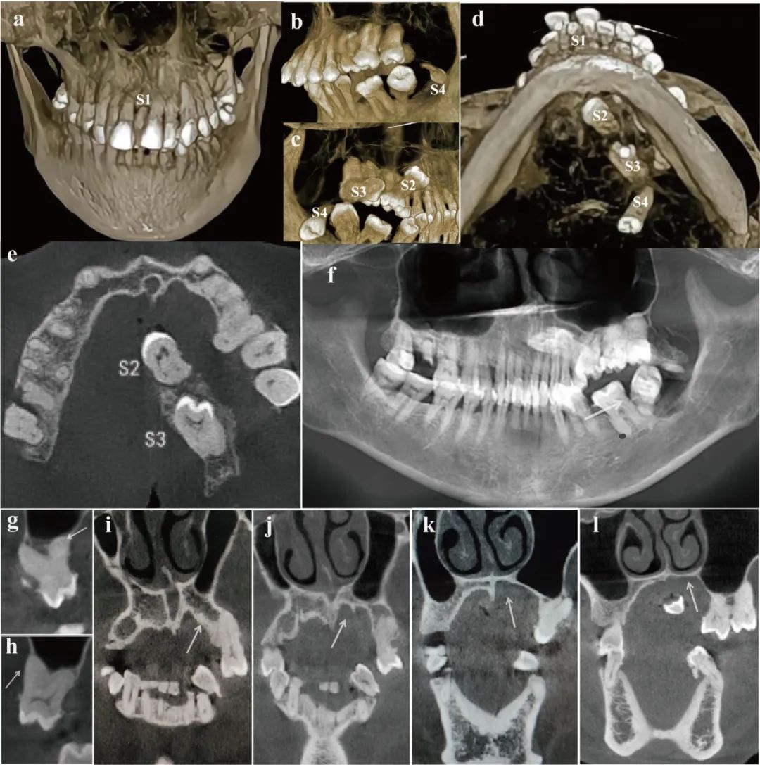
今年3月,段小红接诊了一名57岁女性患者,主诉自幼口腔左侧软组织与上腭相连,长期影响咀嚼。经过面部及全身检查后,段小红教授发现患者口腔有一条长约5厘米的异常口腔融合组织带,致使左上后牙全被遮挡,难以发挥正常咀嚼功能;进一步检查发现异常融合组织中含有一颗牙齿,并伴有局部软腭裂,正中多生牙等异常表现。
根据影像学检查显示,异常融合组织带共含有3颗多生牙,外观近似前磨牙和磨牙,其周围有骨样组织包被,且左侧硬腭骨组织厚度较右侧薄,左侧牙弓也较右侧短。由于患者的异常临床表现十分罕见,段小红教授初步判断,这可能是一种新的未曾报道过的疾病。由于观察到患者还伴有软腭裂,她一边组织团队成员翻阅大量文献,查询是否有相似病例报道,一边联合颌面整形与美容外科进行会诊。
基于患者罕见的口腔表现,段小红团队同李云鹏副教授根据患者特点制定诊疗方案,通过手术切除异常口腔融合组织带,并进行软腭裂修复术;随后对切除的组织开展病理学分析,分析结果表明异常融合组织为类似正常结构的口腔软硬组织,进而排除口腔颌面部肿瘤的可能性。术后患者伤口恢复良好,咀嚼及语音等功能得到改善。
患者罕见的口腔表现是否属于已知的颅颌面发育畸形呢?带着疑问,段小红教授团队对比了50余种伴有口腔组织异常融合、多生牙或腭裂等特征的发育畸形类疾病,进一步锁定副上颌骨及先天性口腔粘连畸形作为重点鉴别诊断疾病,收集并分析40例患有这两类疾病的患者异常表型予以鉴别分析。最终,排除患者为已知颅颌面发育畸形的可能性。
为进一步明确病因,段小红团队对患者进行外显子组测序及遗传分析,经与人类孟德尔遗传数据库、人类基因突变数据库比对,未能发现任何一种与之相匹配的疾病。以上发现提示该疾病很可能是一种新的口腔罕见病。

最终,段小红团队将新的口腔罕见病命名为腭颊融合-腭裂-多生牙综合征(Palate-bucca fusion - cleft palate - supernumerary teeth syndrome, FCS syndrome)。在命名过程中,参照国际惯例,选择该病的腭颊融合、腭裂和多生牙等三大特征作为病名的来源,其对应的英文名称也遵循此规律。(来源:中国科学报 严涛)
该口腔罕见病命名为腭颊融合-腭裂-多生牙综合征。(空军军医大学口腔医院供图)
豫公网安备 41040302000058号