来源:科技日报
作者:赵汉斌
科技日报记者 赵汉斌
兰科是被子植物最大科之一,全世界约有700属2.8万种,不少种类是重要的观赏花卉和珍贵药材,具有较高的价值。
记者5月7日从中国科学院西双版纳热带植物园获悉,该园研究人员近期成功解析了兰科石斛属鼓槌石斛种子萌发的发育模式,著名国际园艺学期刊《Horticulturae》发表了这一研究成果,不仅增进了人们对兰花进化的理解,也为进一步研究兰花与真菌共生的机制,以及兰科珍稀濒危物种的保护、繁育提供了重要见解。

盛花期的鼓槌石斛
兰科植物缘何珍稀又濒危?
兰科是被子植物中最古老的15个科之一,起源于1亿多年前到7600万年前的晚白垩纪,曾与恐龙“同框”。
兰科广泛分布在除两极和极端干旱沙漠地区以外的各种陆地生态系统中,是生物多样性链条中的重要环节和组成部分,它们与动物的协同进化,对人类认识生命演化的规律具有重要意义。同时,以石斛、天麻等为例,作为特化的类群,兰科也是中外生物学研究的热点之一。
虽然兰科植物分布十分广泛,但往往每个物种分布又十分狭窄,只分布在极小的区域,有些甚至只局限在一丘一壑之间,它们对于小环境的要求往往更高。
由于人类活动的影响,使不少兰科植物的生境萎缩或丧失;而早期过度采集和部分兰科植物自身遗传多样性较低等原因,导致不少致生兰科植物处于濒危状态。全世界所有的野生兰科植物均被列为《野生动植物濒危物种国际贸易公约》(CITES)的保护范围,占该公约保护植物的90%以上,是植物保护中的“旗舰”类群。
与大多数被子植物不同,兰科植物的种子几乎是同类中最小的,如同粉尘般微小,被认为是未分化的胚性结构,没有胚乳。因此兰科植物在萌发中,往往不能为自己提供营养。因此,离开原有栖息地,没有共生菌的加持,兰科植物也很难快速生存和繁殖,这也是兰科“娇贵”和易陷于濒危境地的原因。
值得一提的是,兰科在幼苗形成之前,通常要经历原球茎的发育阶段。原球茎最初指兰花种子萌发过程中的形态学构造,可理解为呈珠粒状由胚性细胞组成的、类似嫩茎的原器官。
“原球茎,是兰科植物特有的发育阶段,是幼苗建成及构建菌根共生关系的关键时期,决定了种子能否顺利发育形成幼苗。”中国科学院西双版纳热带植物园植物多样性与保护研究组罗艳研究员介绍,研究原球茎的发育特点及功能,对理解兰科植物与真菌的相互关系具有重要意义。
但由于原球茎微小,鲜有人深入研究其内部形态结构;同时,关于原球茎的属性及结构一直存在较大争议:一些研究人员认为原球茎是胚胎发育的延伸,而另一些研究人员则认为原球茎更类似于发育不全的幼苗,但长期未有定论。

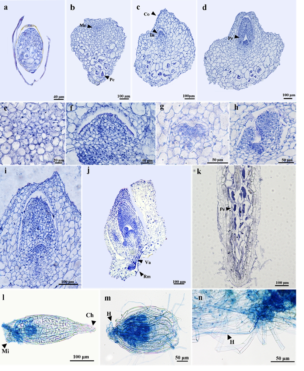
光镜下鼓槌石斛种子萌发不同发育时期的解剖结构
6个步骤解析兰科种子复杂萌发过程
原球茎的组织分化过程是怎样的?它在兰花种子萌发过程中有哪些生理功能?为解决这一问题,研究人员找到了理想的“模特”和协作“伙伴”。
濒临灭绝的附生植物鼓槌石斛,因可开出成串明艳的黄色花朵,是丛林中“明星”,具有药用和观赏价值。然而,对于这种兰花的共生种子发芽、原球茎解剖和发育形态的认知,几乎还是空白。
研究人员小心地从鼓槌石斛果荚中取出种子,并在零下20℃储存,好唤醒它们用于实验。与此同时,还用上了能促进种子发芽的胶膜菌。“这种真菌,是兰花种子发芽的重要‘伴侣’,需培养7-9天,再把活跃的菌丝接种到兰花种子之上。”论文第一作者、西双版纳热带植物园硕士研究生高鑫祯介绍。
“我们利用解剖技术和扫描电子显微镜,观察到鼓槌石斛与胶膜菌GC-15共生发芽过程中原球茎的发育过程。”高鑫祯说,根据形态和解剖结构特征,鼓槌石斛种子的萌发过程可分为6个阶段。
他们发现,原来原球茎形成发生在较前阶段,并在中间阶段有了明显的组织分化,顶部的胚性细胞发育形成子叶,中上部的中心位置,则分化出茎顶端分生组织。
“在种子开始吸水膨胀的初始阶段,胶膜菌菌丝就通过种孔侵入种胚,后期则通过假根进入,在原球茎中下部特定的薄壁细胞中增殖,但菌丝最终会被原球茎消解,作为多糖营养物质,给原球茎发育提供营养。”西双版纳热带植物园副研究员邵士成说,他们还发现,种子的成熟种胚事先已规划好发育“蓝图”,种胚会明显分化形成两个功能区,分别发育形成子叶和茎顶端分生组织以及共生真菌定殖区,分别行使光合作用、幼苗营养体建成和供给营养的功能。
看似结构简单的种胚,通过借助共生真菌“伙伴”,完成了复杂的发育过程,获得了子叶、茎顶端分生组织、假根以及菌根等组织器官,形成“原球茎”这一功能体,从而开启兰科植物幼苗的生命旅程。
“这项研究,阐明了原球茎发育过程中的形态学和解剖学变化,为深入了解石斛属与真菌生物之间的共生关系,以及兰花原球茎的结构形成和功能机制提供了新的见解。”罗艳说,这对濒危兰科植物保护和园艺兰科植物助萌都具有重要的现实意义。
(图片由中国科学院西双版纳热带植物园提供)
豫公网安备 41040302000058号