【生命科普】研究发现抑制癌细胞转移的蛋白质
来源: 科技日报
作者: 张佳欣
为什么一些患者会发生肿瘤转移,而另一些则不会?科学家对其中原因还不甚清楚。最近,奥地利科技学院研究人员在《肿瘤学前沿》发文指出,一种名为MFSD1的蛋白质会抑制癌细胞的转移。

截图来源:eurekalert网站相关视频
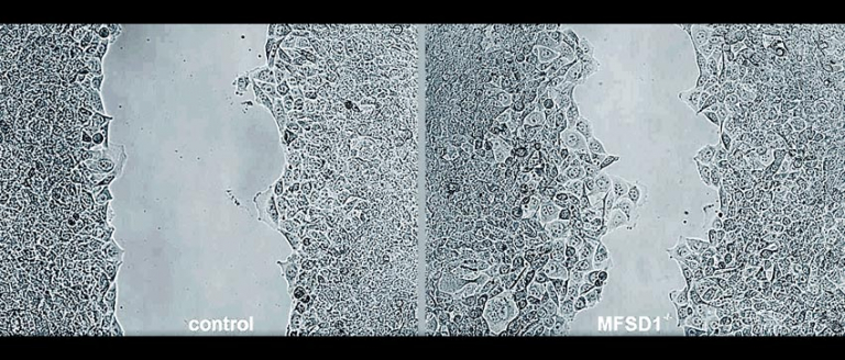
MFSD1是哺乳动物中的一种蛋白质。研究小组在小鼠体内制造了缺乏这种蛋白质的癌细胞。没有这种蛋白质,癌细胞的移动速度要快得多,这表明MFSD1阻止了癌细胞的移动。研究人员在患有乳腺癌、结肠癌和皮肤癌的活小鼠身上进行了测试,结果表明,在缺乏MFSD1的情况下,转移率有很大的增加。
研究人员对有无该蛋白质的癌细胞进行了压力测试。他们发现,含有MFSD1的癌细胞在机械应力下很快死亡,而那些没有这种蛋白质的癌细胞往往保持完好。这表明,如果没有这种蛋白质,某些癌细胞可更容易进入血液,并找到进入身体其他部位的途径。在另一项实验中,研究人员用类似实验测试了癌细胞对“饥饿”的抵抗力。同样,缺少MFSD1的细胞存活时间更长。
研究证明,癌细胞对“饥饿”和机械压力的反应都是由蛋白质MFSD1引起,这是通过影响位于癌细胞表面的特定受体来实现的。这些特定受体是一种整合素,可确保癌细胞彼此黏连。在一个恒定的循环中,癌细胞产生这些受体,将它们运送到细胞表面,然后回到细胞内部。如果癌细胞缺乏MFSD1,它们就不能循环利用特定类型的整合素。结果是癌细胞与周围组织和彼此之间的黏连较少,使得它们更容易迁移。
豫公网安备 41040302000058号