【生命科普】DNA传感器给细胞测电压
来源:《中国科学报》

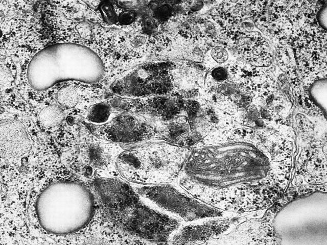
一种微型装置可以测量横跨溶酶体外膜和细胞其他成分的电压差。图片来源:SCIENCE SOURCE
从心脏的跳动到大脑的工作,许多生物过程都依赖于细胞使用电流发送的信号。研究人员现在建立了一种基于DNA的工具,可以测量被称为细胞器的膜包裹结构的内部和外部电压差异。细胞器存在于动物和其他生物的细胞中。
美国伊利诺伊州芝加哥大学的Yamuna Krishnan和同事开发了一种传感器,它由两条DNA链连接到两种荧光染料分子上,其中一种分子通过改变亮度响应电压波动。DNA与细胞表面的特定蛋白质结合,使传感器能够进入细胞。相关成果11月2日发表于《自然—纳米技术》。
这种传感器可以测量几种细胞器的“膜电位”——跨膜的电压差,例如溶酶体,它可以破坏受损的细胞。研究小组甚至在一些被认为没有膜电位的细胞器中发现了膜电位。
研究人员说,这种传感器可以揭示细胞器如何利用电流调节它们的功能。(晋楠)
豫公网安备 41040302000058号